
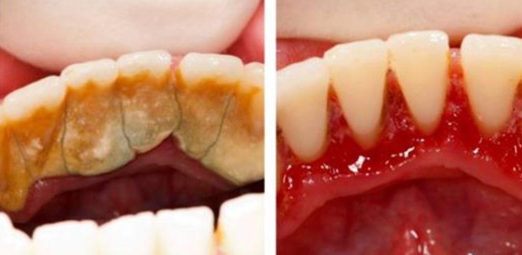
Це неймовірно простий і дешевий спосіб позбутися від зубного каменю, який на відміну від хімічних препаратів не шкодить зубам, а навпаки зміцнює їх!
Ми всі ненавидимо зубний камінь. І все не любимо бувати у стоматолога.
Ось вам простий рецепт, який допоможе зберегти зуби і легко впоратися з такою проблемою, як зубний камінь.
Харчуйтеся правильно, займайтеся спортом і БУДЕТЕ ЗДОРОВІ!
Якщо не стежити за емаллю і вчасно не видаляти зубний наліт, може розвинутися запальне захворювання — періодонтит. При періодонтиті інфекція проникає через кореневий канал в зуб, запалюється оболонка зуба і навколишні його тканини.
На щастя, існує натуральний засіб для профілактики цього неприємного захворювання!
Як видалити зубний камінь
Потрібні тільки:
40 г шкаралупи волоських горіхів
1 стакан води
Що робити?
Відвари шкаралупу в воді протягом 20 хвилин. Проціди суміш після того, як вона охолоне.
Замочи на 10 хвилин зубну щітку в горіховому відварі. Потім ретельно почисти нею зуби.
Цю процедуру можна повторювати 3 рази в день — до тих пір, поки зубний камінь повністю не зникне!
Вже через 2 тижні результат тебе порадує!
Горіхова шкаралупа є потужним антибактеріальним засобом, також вона допомагає очистити поверхню емалі від неприємного нальоту. Корисна ця процедура для тих, хто страждає кровоточивістю ясен: запалення зникає швидко.
Поділіться з друзями цим рецептом безвідмовного та натурального способу!